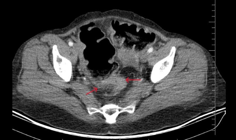
Viranşehir Devlet Hastanesi'ne uzun süredir devam eden karın ağrısı ve kabızlık şikâyeti ile başvuran 40 yaşındaki kadın hastamızda yapılan kapsamlı tetkikler sonucunda rektum kanseri teşhisi konulmuştur.
Hasta, Genel Cerrahi Uzmanları Op. Dr. Hanifi Furkan Yıldız ve Op. Dr. Muhammed Furkan Karadoğan tarafından, kanser cerrahisinin uluslararası prensiplerine uygun olarak gerçekleştirilen başarılı bir operasyonla sağlığına kavuşturulmuştur. Ameliyat sonrası süreç sorunsuz geçen hastamız, taburcu edilmiş olup onkolojik tedavisinin devamı için ileri merkeze yönlendirilmiştir.

Bu başarılı operasyon, Viranşehir Devlet Hastanesi'nde kanser cerrahisinin etkin şekilde uygulanabildiğini ve bölge halkının büyük şehirlerdeki merkezlere gitmeden de nitelikli sağlık hizmeti alabileceğini bir kez daha göstermiştir.
Hastanemizde görev yapan Genel Cerrahi Uzmanlarımız, yalnızca rutin cerrahi vakaları değil, aynı zamanda ileri düzey cerrahi girişimleri de başarıyla gerçekleştirmektedir.

Viranşehir Devlet Hastanesi'nde gerçekleştirilen başlıca cerrahi operasyonlar:
Apandisit ameliyatları
Safra kesesi ameliyatları
Fıtık operasyonları
Hemoroid (basur) tedavileri
Pilonidal sinüs (kıl dönmesi) ameliyatları
Tiroid cerrahisi
Kanser cerrahisi
Viranşehir Devlet Hastanesi olarak, bölge halkına güvenli, modern ve erişilebilir sağlık hizmeti sunmaya devam ediyoruz.





